News
Review Corner – January 2020
May we introduce our new series: The review corner. Reviews are handy stuff. Someone else checks available papers on a certain topic for you, sums up the most important points and thereby creates an overview, which makes it easy for you to stay up to date. As not all...
Case of the month – December
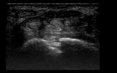
The numb finger tipsThe case of November was very specific for starting out... This is why we will keep it classical in December. Let´s start: Your 43 year old female patient is quite upset about the tips of her left index and middle finger having been numb...
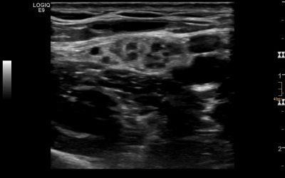
Which Equipment Do I Need For Performing Nerve Ultrasound?
Ultrasound of nerves does have some special requirements as we are assessing small to very small structures. While “bigger” nerves like the median or ulnar nerve present with cross-sectional areas (CSA) from 8 to 15 mm2 and do therefore not impose a major problem in...
Newsletter – Winter News 2019
This is our very first newsletter for you. We are happy and excited that you take the time to be with us. In this newsletter we are going to discuss reports published between September and November 2019. A look into literature reveals one hot topic:...
Case of the month – November
The untreatable pain out of nothing You are seeing a 43 year old male. "Two weeks ago I woke up because of very strong pain in the left shoulder and the left upper arm. For one week I took every pain killer I had around - but...
The Top 10 Reasons Why You Should Start With Nerve Ultrasound Today
We think nerve ultrasound is a great tool. You are not convinced? Ok, we will take the challenge. Get ready to change your mind after reading this list: It´s your perfect complementary diagnostic tool Wham. The absolutely most important point right away....





